Digital X-Ray

Digital X-Ray in Saharsa - Sparssh Imaging & Diagnostics

At Sparssh Imaging & Diagnostics in Saharsa, we offer advanced Digital X-Ray services that provide quick, high-quality images for effective diagnosis and treatment planning. Led by Dr. Ankur Chand, our experienced radiologist ensures precise imaging results that help diagnose bone fractures, joint dislocations, lung infections, and other conditions. With our digital system, the process is faster, more efficient, and environmentally friendly.

Key Features of Our Digital X-Ray Services

Fast and Efficient Imaging

Our digital X-ray machines provide immediate image results, reducing waiting times and enhancing patient convenience.

High-Resolution Images

Digital X-rays offer high-quality images for accurate diagnosis and treatment planning.

Low Radiation Exposure

Digital X-rays use lower radiation compared to traditional X-ray systems, making the procedure safer for patients.

Immediate Results

The results are available instantly, and they can be easily shared with your doctor for a prompt diagnosis.

Sub-Services Available

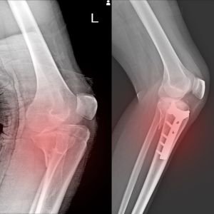
Bone & Joint X-Ray
Bone & Joint X-Ray

Used to identify fractures, arthritis, and joint issues, bone and joint X-rays help in diagnosing musculoskeletal conditions quickly and accurately.

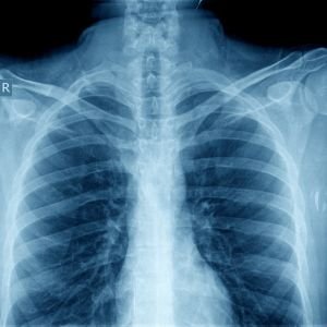
Chest X-Ray
Chest X-Ray

A chest X-ray is commonly used to evaluate the lungs, heart, and ribs, helping diagnose conditions like pneumonia, tuberculosis, and lung cancer.

Spinal X-Ray
Spinal X-Ray

Spinal X-rays are used to detect abnormalities in the spine, such as fractures, scoliosis, and degenerative disc disease.

Abdominal X-Ray
Abdominal X-Ray

An abdominal X-ray can help diagnose issues related to the gastrointestinal tract, such as blockages, infections, or bowel conditions.

Dental X-Ray
Dental X-Ray

Dental X-rays allow for a clear view of your teeth and jaw, helping detect cavities, infections, or structural issues with the bones in your mouth.

Why Choose Sparssh Imaging & Diagnostics for Digital X-Ray?

At Sparssh Imaging & Diagnostics, we prioritize patient safety and accuracy. Our Digital X-ray services use advanced technology to provide quick, precise results with lower radiation exposure. Led by Dr. Ankur Chand, our radiologist, you can trust us to deliver the best possible imaging services, ensuring the highest level of care and accuracy for conditions such as bone fractures, joint problems, and chest infections.

Frequently Asked Questions (FAQs)

A Digital X-ray is an advanced imaging technique that uses digital sensors to capture high-quality images of the body’s internal structures, such as bones, joints, and organs, to diagnose various conditions.

Yes, Digital X-rays use a much lower dose of radiation compared to traditional X-rays, making them safer for patients. The procedure is also non-invasive and painless.

Digital X-ray scans typically take just a few minutes, making the process quick and convenient.

In most cases, no preparation is needed. However, for certain X-rays, like abdominal or pelvic ones, you may be asked to avoid eating or drinking for a few hours before the exam.

After the scan, a radiologist will analyze the images and send a detailed report to your doctor, who will then discuss the results with you.

Schedule an Appointment

Clinic Hours

  • Monday - Sunday 9:00 AM - 12:00 PM
  • Monday - Sunday 3:00 PM - 9:00 PM
  • Emergency 24X7